作者查詢 / chenQQ228

總覽項目: 發文 | 留言 | 暱稱
作者 chenQQ228 的總覽 (PTT發文,留言,暱稱)
發文數量: 11
收到的『推』: 48 (47.1%)
收到的『→』: 53 (52.0%)
收到的『噓』: 1 (1.0%)
留言數量: 126
送出的『推』: 59 (46.8%)
送出的『→』: 67 (53.2%)
送出的『噓』: 0 (0.0%)
使用過的暱稱: 1
chenQQ228 在 PTT 最新的發文, 共 11 篇
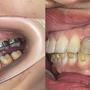
[心得] 隱適美40+拔牙矯正心得 輔助裝置進度超快
[ teeth_salon ]12 留言, 推噓總分: +5
作者: chenQQ228 - 發表於 2026/01/28 01:44(3月前)
[請益] 大同區虹廷首苑1-2房格局請益
[ home-sale ]8 留言, 推噓總分: +4
作者: chenQQ228 - 發表於 2020/05/29 15:44(6年前)
[心得] 產後落髮,雷射帽分享
[ BabyMother ]25 留言, 推噓總分: +14
作者: chenQQ228 - 發表於 2020/03/17 21:54(6年前)
[問題] 半年以上算是老痘疤嗎?
[ facelift ]8 留言, 推噓總分: +3
作者: chenQQ228 - 發表於 2020/01/05 20:07(6年前)
[新聞]安眠藥物以外的高招 慢性失眠掌握九大原
[ lostsleep ]0 留言, 推噓總分: 0
作者: chenQQ228 - 發表於 2019/09/23 15:47(6年前)
chenQQ228 在 PTT 最新的留言, 共 126 則
[問題] 大家會考慮做老花近視雷射嗎?
[ Laser_eye ]38 留言, 推噓總分: +14
作者: Cannies - 發表於 2025/12/17 11:28(4月前)
35FchenQQ228: 前陣子剛給遠見張芯瑜醫師做完,醫師評49.218.138.231 01/28 01:48
36FchenQQ228: 估很專業仔細的,會看個人需求再建議比49.218.138.231 01/28 01:48
37FchenQQ228: 較合適的方式~總之可以先問問看再決定49.218.138.231 01/28 01:48
38FchenQQ228: 囉49.218.138.231 01/28 01:48
[心得] 台北植髮推薦診所5間諮詢比較
[ hair_loss ]32 留言, 推噓總分: +16
作者: yaguchi12 - 發表於 2025/04/22 19:39(1年前)
39FchenQQ228: Myhair真的滿推的!林敬恩醫師幫我評估可以先從生髮開11/04 16:49
40FchenQQ228: 始,也沒有一直推我要做植髮,諮詢起來很舒服,不然我11/04 16:49
41FchenQQ228: 很討厭被推銷的感覺,前陣子去做目前做了4次AI雷射生髮11/04 16:49
42FchenQQ228: ,本來頭頂少頭髮的地方,頭髮有越來越多,真的很讚效11/04 16:50
43FchenQQ228: 果很快就看的出來了11/04 16:50
[討論] 有做完後悔一輩子的療程嗎
[ facelift ]9 留言, 推噓總分: +4
作者: qiddiycy62 - 發表於 2025/05/02 11:23(1年前)
8FchenQQ228: 之前墊下巴打過骨釘,後來被醫生宣判下111.248.252.209 05/14 01:44
9FchenQQ228: 巴不能打電音波,現在後悔到不行111.248.252.209 05/14 01:44
[問題] 全臉補脂 北部諮詢心得(有選手)
[ facelift ]6 留言, 推噓總分: +3
作者: j3406jenny - 發表於 2025/03/21 22:24(1年前)
5FchenQQ228: 3美感不推,有負評一定有原因,原PO可49.216.191.1 03/24 22:36
6FchenQQ228: 以再思考一下49.216.191.1 03/24 22:36
三間高雄植髮診所諮詢心得(Dx、iha*r、MyHa*r)
[ hair_loss ]22 留言, 推噓總分: +8
作者: www34579 - 發表於 2025/03/04 22:04(1年前)
1FchenQQ228: 推分享超完整,請問你最後決定去哪家?03/04 23:10
chenQQ228 在 PTT 的暱稱紀錄, 共 1 個
暱稱:QQ
文章數量:11